● かぶせもの(自費治療・インレー、クラウン、ブリッジ)
むし歯や外傷などで歯の大部分がなくなってしまった場合、主に、噛み合わせる面が広く失われてしまった場合は、詰め物では強度が確保できないので、歯を覆ってかぶせることになります。
歯の一部をかぶせるものをインレー、歯全体をかぶせるものをクラウンといいます。また、ホワイトニングやクリーニングで対応できない変色歯や、部分的な叢生(歯並びが部分的に乱れている場合)でも、かぶせもので治療できる場合があります。
保険治療では奥歯は白い歯をかぶせることができません。また保険の白いかぶせものは色の選択肢が少なく隣の歯との色調を合わすことが困難です。審美治療(自費)では歯の色を表す様々な「白」色を使うことができます。患者さんごとの歯の色を細部まで記録し(シェードテイキング)、周りと色調の取れた自然な歯を再現することが可能になります。
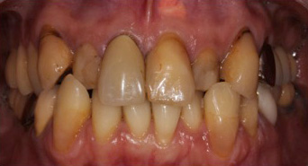
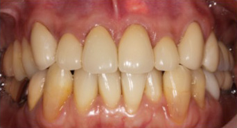
| ・審美治療の症例 |
 | |  |
術前: 前歯のかぶせものや詰め物が劣化しています。 歯も変色し、歯並びもよくないため審美的でありません。 | | 術後: 審美的なきれいなかぶせもの(クラウン)が入りました。歯並びもクラウンをかぶせることで修正できました。 |
● ホワイトニング
ホワイトニングには大きく分けて2種類あります。1つは「歯の表面」に薬品を塗布し歯を白くする方法です。これには方法が2つ、「オフィスホワイトニング」「ホームホワイトニング」があります。もう一つのホワイトニングは「歯の中」に薬品をいれ、内側から歯を白くする方法で、「ウォーキングブリーチ」といいます。変色の度合や種類によってそれぞれを使い分け、あるいは併用します。ホワイトニングはすべて保険外治療となります。
またホワイトニング前にはむし歯治療が必要です。また、クリーニングや歯周治療を行い着色やプラーク・歯石除去を行うことで、より高い効果が得られます。
オフィスホワイトニング -歯医者さんで、歯の表面から白くする-
歯科医院で、歯科医師や衛生士が行う歯のホワイトニングです。歯に直接薬剤を塗布し、光を当てて歯を白くします。専門家が使用する高濃度の薬剤のため、短期間(3回の施術が一般的)で効果が表れやすいです。早く歯を白くしたい方にはおすすめの方法になります。効果が早くでる分、薬の影響で歯がしみやすくなったり痛みが出る場合があります。また後戻りもしやすいため、ホームホワイトニングを併用し(デュアルホワイトニング)、白さを持続させることをおすすめします。
ホームホワイトニング -おうちで、歯の表面から白くする-
ホームホワイトニングは歯の型を取ってホワイトニング用のマウスピースを作り、その中に薬剤を入れてご自宅で白くする方法です。低濃度の薬剤を使用するため安全に手軽に行える分、効果が現われるまで少し時間がかかります(数週間から1,2か月)。
オフィスホワイトニング、ホームホワイトニングにはそれぞれメリット・デメリットがありますが、「より早く、より長く白い歯」を実現するにはこの両方を併用する方法(デュアルホワイトニング)をおすすめします。
ウォーキングブリーチ -歯の内側から、“歩きながら白くする”-
ウォーキングブリーチは、神経がない歯の内部に薬剤を入れて白くする方法です。神経がない歯はしばしば変色することがあります。このような歯は表面からホワイトニングをしてもあまり効果が得られません。1~2週間に1度薬を入れ替えをし、計3,4回で元々の白さまで白くすることができます。
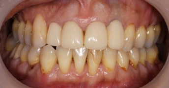
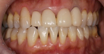
| ・ホワイトニング・審美治療の症例 |
 | |  |
術前: 前歯の変色や詰め物の劣化がみられます。 (クラウンの歯もあります) | | 術後: 上下前歯のホワイトニングを行い、詰め物を新しくしました。歯ぐき側の色の変化をみるとホワイトニングの効果が分かりやすいです。 |
● 矯正治療
矯正治療の説明文が入ります。
サンプルテキスト■サンプルテキスト■サンプルテキスト■サンプルテキスト■サンプルテキスト■サンプルテキスト■サンプルテキスト■サンプルテキスト■サンプルテキスト■サンプルテキスト■
サンプルテキスト■サンプルテキスト■サンプルテキスト■サンプルテキスト■サンプルテキスト■サンプルテキスト■サンプルテキスト■サンプルテキスト■サンプルテキスト■